Ông Nguyễn Văn Minh, 55 tuổi, ở Phú Xuyên, Hà Nội cho biết, ông phát hiện mắc ung thư thực quản từ tháng 9/2019. Triệu chứng ban đầu chỉ là hơi nghẹn khi nuốt, chưa có dấu hiệu di căn.

Tuy nhiên do phần hoàn cảnh khó khăn, phần vì sợ phải mổ xẻ khi vào viện nên ông nghe theo lời mách của nhiều người quen, tự mua thuốc nam và một số loại thực phẩm chức năng về uống.

4 tháng sau, bệnh tình của ông không đỡ mà ngày càng nặng lên, nuốt nghẹn tăng thêm khiến ông không thể ăn uống được gì, cơ thể gầy sút gần 10kg, đứng cũng không vững nên phải nghỉ làm phụ hồ.

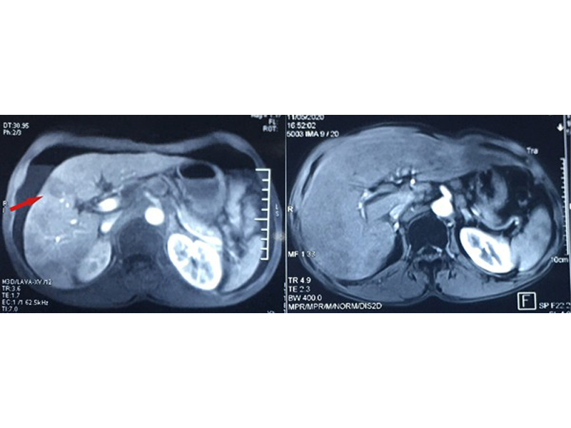
Hình ảnh các hạch di căn tại gan trước khi điều trị (trái) và hình ảnh sau truyền hoá chất 4 lần

Thời điểm cuối tháng 1/2020, khi thấy sức khoẻ ông Minh quá yếu, gia đình mới đưa ông BV Ung bướu Hà Nội chữa bệnh.

Do bệnh nhân nuốt nghẹn gần như hoàn toàn, cơ thể gầy sút còn 44kg, bác sĩ phải mở thông dạ dày để ăn qua sonde.

BS Nguyễn Trọng Hiếu, Trưởng khoa Nội 2 cho biết, khi vào viện, bệnh nhân có khối u 1/3 dưới thực quản khá to, kích thước 5×2,5 cm, có nhiều hạch xung quanh, hạch lớn nhất hơn 2 cm.

sut-10kg-vi-ung-thu-di-can-gan-nguoi-dan-ong-ha-noi-hoi-phuc-tot

Đặc biệt, ung thư đã di căn xuống gan với ổ lớn nhất đường kính 3 cm. Bác sĩ chẩn đoán bệnh nhân đã mắc ung thư giai đoạn muộn, các biện pháp phẫu thuật, điều trị tại chỗ không còn tác dụng nên chỉ định điều trị hoá chất toàn thân.

Sau chu kỳ đầu tiên, bệnh nhân đáp ứng thuốc tốt và đã có thể nuốt thức ăn. Kết thúc 4 lần truyền, bệnh nhân tiến triển rất khả quan, hiện bệnh nhân ăn tốt, tăng lên 50kg. Đáng mừng hơn là kết quả xét nghiệm không còn thấy tổn thương di căn gan, khối u ở thực quản cũng nhỏ lại.

Trong thời gian tới, bệnh nhân sẽ tiếp tục điều trị hoá chất hết liệu trình, sau đó đánh giá lại trước khi có các phương pháp can thiệp tiếp theo.

Bệnh nhân hồi phục tốt, cân nặng đã tăng thêm 6 kg

“Trước khi nhập viện tôi nghĩ mình sắp chết rồi, khó cứu được nhưng hiện tại tôi đã thấy khoẻ hơn rất nhiều. Tôi thấy thực sự hối hận khi không vào viện chữa ngay khi mới phát hiện bệnh”, ông Minh chia sẻ.

Ung thư thực quản là một trong những bệnh ung thư đường tiêu hóa thường gặp. Tại Việt Nam, theo số liệu WHO 2018, ung thư thực quản đang xếp vị trí 15 trong số các loại ung thư phổ biến nhất với trên 2.400 ca mắc mới mỗi năm, tuy nhiên tỉ lệ tử vong lên tới 92% khi có tới 2.200 ca tử vong.

Con số này cũng khớp với các nghiên cứu của Hiệp hội Ung thư Mỹ, cho thấy tỉ lệ sống sót cho bệnh nhân ung thư thực quản trên 5 năm là 43% đối với ung thư tại chỗ, 23% đối với ung thư đã lan rộng trong khu vực và 5% với ung thư lây lan xa. Tại Việt Nam, hầu hết bệnh nhân ung thư thực quản đến viện khi đã ở giai đoạn muộn, lúc này các phương pháp điều trị rất hạn chế.

Ở giai đoạn đầu, bệnh không có nhiều dấu hiệu rõ ràng, thường đến khi ở giai đoạn tiến triển mới có triệu chứng như nghẹn, khó nuốt, đau rát cổ họng…

Nếu may mắn được phát hiện ở giai đoạn sớm, bệnh nhân có thể phẫu thuật hoặc xạ trị, tiên lượng rất khả quan.

Tuy nhiên, nếu ở giai đoạn muộn, ung thư di căn xa thì phải điều trị toàn thân và tiên lượng cũng xấu hơn.

Vì vậy, người dân khi thấy có triệu chứng: nuốt đau, nuốt khó, gầy sút cân nhiều, đau họng hoặc lưng, ho kéo dài, nôn, ho ra máu cần đi khám chuyên khoa ung bướu và khi phát hiện bệnh cần điều trị sớm tại cơ sở uy tín, không nên đợi bệnh trở nên nghiêm trọng mới đến viện khiến quá trình chữa trị kéo dài, nặng nề, tốn kém.

* Tên bệnh nhân đã được thay đổi.

Ngoài ra, Quý khách hàng có thể tham khảo thêm sản phẩm Hoàn Nguyên Vị chính hãng có bán tại Hệ Thống Nhà Thuốc Gia Hân Pharmacy & giao hàng trên toàn quốc.

Hệ Thống Nhà Thuốc Gia Hân Pharmacy là nơi Quý khách hàng yên tâm gửi trọn niềm tin để chăm sóc sức khoẻ cho cả gia đình mình.

Đến với chúng tôi, Quý khách hàng thoải mái trải nghiệm cảm giác mua sắm hàng chính hãng với giá tốt nhất đầy đủ các sản phẩm thuốc tây, thực phẩm bảo vệ sức khoẻ, mỹ phẩm, thiết bị y tế…